
Correzione deformità e allungamento arti
Correzione deformità e allungamento arti
Le deformità degli arti, dovute a deviazioni rispetto alla normale anatomia o ad eventuali cambiamenti di lunghezza dei segmenti ossei, possono essere dovute a patologie congenite, metaboliche, tumorali o a traumi ad alta energia che hanno provocato una frattura con o senza perdita di sostanza ossea.
Per il trattamento chirurgico delle deformità degli arti vengono utilizzate tecniche chirurgiche, che permettono di correggere le deviazioni assiali, di sostituire la perdita di segmenti ossei ed eventualmente di allungare gli arti.
Per la correzione è necessaria un’osteotomia ossea che rappresenta il fulcro per la correzione della deviazione assiale.
La rigenerazione ossea infatti, può avviene per riparazione dopo una frattura o dopo sezione ossea, “osteotomia” (Frattura prodotta in sala operatoria), a cui segue una graduale trazione distrattiva, che consente la formazione di nuovo tessuto osseo (osteogenesi). In questo modo, i segmenti ossei possono essere corretti e/o allungati gradualmente fino a colmare eventuali gap ossei.
E’ importante scegliere la giusta sede di osteotomia e la metodica che si sceglie per la correzione. Si può infatti utilizzare:

- Una tecnica chirurgica a cielo aperto che prevede la sola osteotomia e la stabilizzazione con placca o chiodo endomidollare, può essere applicata nei casi di vizio di consolidazione semplice o pseudoartrosi
- L’utilizzo di fissatori esterni circolari o esapodali, permettono anche la rigenerazione ossea utilizzando il principio di distrazione osteogenetica, più versatili possono essere utilizzati in quasi tutte le patologie ossee comprese le fratture (in particolare sono utilizzate nelle fratture esposte e in quelle complesse). Unica pecca di questi fissatori è costituita dal lungo tempo di applicazione, in cui il paziente si trova a dover indossare un apparato ingombrante che va mantenuto pulito, e che necessita medicazioni 3 volte alla settimana
- Per l'allungamento di un segmento osseo semplice, o associato a lievi deviazioni assiali, possono essere utilizzati anche chiodi endomidollari allungabili, mediante impulso magnetico, che sono stati introdotti sul mercato negli ultimi anni e che hanno un costo ancora molto elevato.
Osteogenesi per distrazione
L’osteogenesi per distrazione viene compresa nel 1951, dal professor Gavril Abramovich Ilizarov, un medico russo, che per primo sviluppa un fissatore esterno circolare per il trattamento delle fratture. Dopo numerose applicazioni di questo fissatore Ilizarov comprese che il fissatore consentiva non solo la guarigione delle fratture che venivano mantenute stabili e allineate, ma anche
l’allungamento osseo per distrazione. Ilizarov infatti dimostrò che con una tensione controllata, l'osso ed i tessuti molli possono essere rigenerati in un modo affidabile e riproducibile.
La sezione ossea con la preservazione del periostio, a cui segue l’allontanamento graduale delle 2 porzioni ossee collegate al fissatore circolare, porta alla crescita progressiva dell’osso nella zona interposta con una velocità che può arrivare fino a 1 mm al giorno.
Con questa metodica è possibile trattare una serie di patologie quali:
Densimetria degli arti inferiori
La dismetria degli arti inferiori può derivare da cause congenite, di sviluppo, post-traumatiche, o post-chirurgiche.
La dismetria post-traumatica si verifica in seguito ad una non corretta guarigione dell’osso dopo una frattura, portandolo ad essere più corto.
Gli obiettivi del trattamento sono correggere la dismetria con la deformità associata, preservare la funzione di muscoli e articolazioni e ripristinare un normale allineamento dell'arto.
Deformità osee post-traumatiche
Deformità ossee post-traumatiche sono fratture che guariscono in una posizione scomposta, angolata, ruotata o accorciata. Questo vizio di consolidazione a volte risulta difficile da trattare, soprattutto se vi sono alterazioni poliassiali, con deformità che si sviluppano su più piani (ad esempio vizi di rotazione associati a varismo o valgismo. E’ proprio in questi casi che è maggiormente indicato l’utilizzo dei fissatori esterni esapodali, che utilizzano planning preoperatori computerizzati sui quali è possibile definire la correzione graduale della deformità, con l’ausilio di appositi programmi.
Pseudoartrosi (fratture non guarite)
Una complicazione tardiva determinata dall'interruzione dei normali processi di guarigione della frattura porta ad una pseudoartrosi. Questo può essere associato con dismetria degli arti, infezioni, e rigidità delle articolazioni. In questo caso oltre alla presenza di deviazioni assiali vi sarà anche la difficoltà alla guarigione ossea, associato ad instabilità della frattura. La tecnica chirurgica quindi deve prevedere:
a. La stabilizzazione meccanica del sito di pseudoartrosi
b. Il ripristino della biologia (il tessuto osseo deve essere ben vascolarizzato)
c. La correzione di eventuali deviazioni assiali
Perdita di tessuto osseo per tumore, traumi e infezioni
Tumore, traumi, ed infezioni possono portare alla perdita di massa ossea dovuta a lesione dei tessuti molli associato a fratture, processi infettivi o resezione di segmenti ossei per tumori dell’osso o delle parti molli. Questa perdita può provocare un difetto osseo anche importante che può esitare in una dismetria dell'arto interessato.
Contrattura delle articolazioni
Le articolazioni possono essere limitate nel loro movimento da muscoli contratti o da cicatrici periarticolari dovute a traumi.
Infezione ossea
Un’infezione ossea può essere il risultato di una frattura o di un’infezione ematica (di solito si verifica durante l'infanzia). L’unico modo per rimuovere efficacemente l’infezione ossea è resecare la porzione ossea interessata dal processo infettivo. Questo può causare un difetto osseo che deve essere ricostruito con la tecnica Ilizarov.
Visita Preoperatoria
Una visita preoperatoria di valutazione comporta un esame dettagliato della storia clinica e la revisione delle radiografie precedenti. Per completare la valutazione sono necessari raggi X specifici e molto spesso una valutazione con Tomografia Assiale Computerizzata e/o Risonanza magnetica.
Se il trattamento chirurgico è ritenuto opportuno, tutti gli aspetti della procedura vengono discussi con il paziente. Viene successivamente fissato un appuntamento di follow-up fatto per rispondere ad ulteriori domande e stabilire un piano di trattamento definitivo. È fondamentale che il paziente capisca cosa può realisticamente essere raggiunto dalla chirurgia e le possibili complicanze.
Intervento Chirurgico
Chiodo Endomidollare e Placche
L'inserimento del chiodo endomidollare o di placche a cielo aperto, viene eseguito dopo uno studio accurato della deformità. In caso di deformità che non richiedono allungamento osseo, queste verranno seguite con controllo postoperatori seriati ogni mese dopo l'intervento, fino a consolidazione ossea raggiunta.
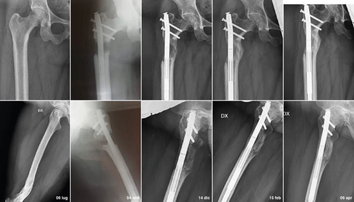
Chiodo endomidollare magnetico per allungamento
In caso di Chiodo endomidollare magnetico per allungamento, il paziente sarà dotato di un dispositivo, che permette di inviare un segnale magnetico per l'allungamento del chiodo. Questa procedura verrà effettuata tutte le sere fino al raggiungimento dell'allungamento desiderato. Saranno poi necessari dei controlli ogni mese per la valutazione della consolidazione ossea, e una volta raggiunta la consolidazione, per programmare la rimozione del chiodo, che può essere effettuata dopo circa 6 mesi dalla consolidazione ossea.
Fissatore esterno circolare o esapodale
In preparazione di ogni intervento chirurgico viene predisposto un apparecchio personalizzato. La struttura circolare esterna di questo apparecchio viene collegata chirurgicamente all'arto interessato tramite fili d’acciaio e fiches (viti). La chirurgia è di solito eseguita per via percutanea attraverso piccole incisioni. Viene tenuta particolare cura quando sono effettuate le incisioni ossee specializzate per minimizzare il danno alle ossa, tessuti molli, nervi e vasi sanguigni circostanti.
Fase di aggiustamento
In generale, i pazienti sono ricoverati in ospedale per 5-7 giorni prima di essere dimessi. Procedure più complesse possono richiedere una degenza più lunga.
L'allungamento effettivo e la correzione (raddrizzamento) dell'arto inizia infatti circa 5 giorni dopo l'intervento chirurgico. A questo punto, l’apparato viene regolato secondo un piano, fornito in base ad un programma computerizzato personalizzato, che viene consegnato al paziente nel postoperatorio. Il paziente deve regolare la lunghezza delle aste millimetrate poste tra gli anelli ogni giorno secondo lo schema consegnato. Le estremità ossee dell’osteotomia vengono così allontanate ad una velocità prestabilita, compresa solitamente tra i 0,5 e i 0,7 mm, in modo da ottenere una ricrescita ossea graduale.
I muscoli non si allungano facilmente come le ossa quindi la fisioterapia rappresenta uno step importante del trattamento per mantenere mobilità articolare e prevenire contratture. Una volta che la guarigione iniziale della ferita è avvenuta, 5-7 giorni dopo l’intervento, è possibile iniziare anche la deambulazione libera, medicando l’apparato 3 volte alla settimana e mantenendo pulito l’apparato utilizzando amuchina per pulire gli anelli e le fiches. In seguito il paziente viene visitato ogni 30 giorni con esami ematici e radiografie.
Un controllo rigoroso dei tessuti molli e dei tramiti delle fiches, deve essere mantenuto per identificare eventuali complicanze.
Fase di consolidazione (indurimento dell'osso)
Dopo che la lunghezza desiderata è stata raggiunta e le deformità ossee sono state corrette, le regolazioni all’apparecchio vengono interrotte per iniziare la fase di consolidazione.
L'apparecchio viene quindi lasciato in sede e la consolidazione avviene di solito in 5-6 mesi.
Una volta che il nuovo osso è giudicato sufficientemente forte, l’apparecchio è allentato completamente ed il paziente viene incoraggiato a caricare pienamente il peso per due settimane. Se questo può essere ottenuto senza intaccare la corretta guarigione viene prenotata la rimozione dell’apparecchio. Questo avviene in sala operatoria, utilizzando una semplice sedazione del paziente.
Dopo la rimozione del fissatore esterno per proteggere l’osso neoformato solitamente si applica un apparecchio gessato o un tutore. Con il tempo il nuovo tessuto osseo tornerà ad assumere tutte le qualità e la forza di un osso normale ed è possibile la ripresa funzionale completa dell’arto trattato.
Follow up
Describe the item or answer the question so that site visitors who are interested get more information. You can emphasize this text with bullets, italics or bold, and add links.
Sollievo dal dolore
La prima fase postoperatoria dopo l'applicazione del fissatore esterno può essere dolorosa, ma essa viene moderata da farmaci antidolorifici che vengono somministrati in reparto. Dopo i primi 3 o 4 giorni di dolore il corpo si abitua alla presenza del fissatore esterno e il dolore diminuisce fino a scomparire a riposo. La ripresa del dolore avviene con i primi passi in carico e con la regolazione in allungamento delle aste, perché stimolano la muscolatura che agisce in prossimità delle fiches metalliche.
La fase di regolazione risulta dolorosa a causa delle condizioni in continuo cambiamento dell'osso e dei tessuti molli. Dopo il periodo di allungamento il dolore diminuisce fino a quasi scomparire.
Il dolore avvertito rimane comunque piuttosto soggettivo ma di solito viene ben tollerato con un’adeguata terapia antidolorifica.
Cura dei fili e viti
È possibile fare la doccia con l’apparato di Ilizarov una volta che le ferite sono asciutte, di solito 5 giorni dopo l’intervento chirurgico. Si consiglia di pulire le zone delle ferite una volta al giorno utilizzando una soluzione antibatterica, come la Clorexidina allo 0,05%, e salviette di cotone. A volte può essere necessario uno spazzolino da denti morbido per ripulire un accumulo di crosta che spesso si può formare attorno alle ferite. Non allarmatevi è del tutto normale, è la reazione biologica del corpo alla presenza di un corpo esterno con un tramite metallico verso l'esterno della cute. Il corpo cerca di guarire autonomamente e di chiudere per quanto può il buco da cui esce la fiches.
Alcuni pazienti possono presentare una perdita sierosa da una dei fori di uscita delle fiches.
Ancora una volta non allarmatevi, questo può essere del tutto normale. Se questo si verifica immergere un pezzo di Lyofoam® in soluzione antibatterica (es. Clorexidina) e applicarlo alla ferita. Se si nota che una delle ferite inizia ad avere una colorazione più rossa è necessario contattare il medico curante o il medico che segue il fissatore esterno.
Quando le ferite hanno smesso di secernere liquido, e sembrano pulite e asciutte possono rimanere scoperte.
Fumo
È possibile fare la doccia con l’apparato di Ilizarov una volta che le ferite sono asciutte, di solito 5 giorni dopo l’intervento chirurgico. Si consiglia di pulire le zone delle ferite una volta al giorno utilizzando una soluzione antibatterica, come la Clorexidina allo 0,05%, e salviette di cotone. A volte può essere necessario uno spazzolino da denti morbido per ripulire un accumulo di crosta che spesso si può formare attorno alle ferite. Non allarmatevi è del tutto normale, è la reazione biologica del corpo alla presenza di un corpo esterno con un tramite metallico verso l'esterno della cute. Il corpo cerca di guarire autonomamente e di chiudere per quanto può il buco da cui esce la fiches.
Alcuni pazienti possono presentare una perdita sierosa da una dei fori di uscita delle fiches.
Ancora una volta non allarmatevi, questo può essere del tutto normale. Se questo si verifica immergere un pezzo di Lyofoam® in soluzione antibatterica (es. Clorexidina) e applicarlo alla ferita. Se si nota che una delle ferite inizia ad avere una colorazione più rossa è necessario contattare il medico curante o il medico che segue il fissatore esterno.
Quando le ferite hanno smesso di secernere liquido, e sembrano pulite e asciutte possono rimanere scoperte.
Complicazioni possibili
Possono verificarsi complicanze che si manifestano nel periodo di allungamento, di fissazione o dopo la rimozione dell'apparecchio.
Le complicazioni si dividono solitamente in due tipologie: biologiche (infezioni) o meccaniche.
Biologiche:
Infezione superficiale delle ferite: trattamento con antibiotici
Ritardo di consolidazione ossea: si interviene rallentando o fermando il ritmo di allungamento
Meccaniche:
Deformità dell’osso rigenerato: vengono facilmente corrette con applicazione di snodi esterni senza necessità di procedure invasive
Difetti di assilità:
vengono facilmente corretti con regolazione delle viti dell’apparecchio
Contratture muscolari e lussazioni articolari: trattabili con fisioterapia
Tutte queste complicanze tranne l’infezione superficiale possono svilupparsi anche con i chiodi endomidollari, ma nel caso della fissazione esterna sono meglio gestibili. In caso di infezione del chiodo endomidollare o delle placche. Questi devono venire rimossi e si deve procedere ad un altro intervento, dopo adeguato ciclo di terapia antibiotica.




