
Revisione interventi chirurgici
Revisione del interventi
Presso l'Istituto Ortopedico Rizzoli di Bologna il dr. Roberto Bevoni si occupa di chirurgia specialistica del piede e della Caviglia, comprendendo anche di complicanze di trattamenti chirurgici effettuati presso altre Strutture.
Tra le più comuni:
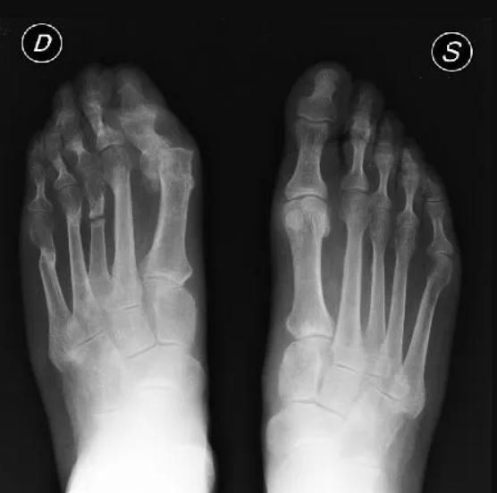
- recidiva di alluce valgo;
- metatarsalgie da trasferimento in esito correzione dell’avampiede;
- esiti di trattamento con chirurgia mini-invasiva;
- infezioni dell’avampiede in esito di interventi;
- pseudoartrosi dell’avampiede e del retropiede;
- infezioni del tendine di Achille;
- esito intervento correttivo per piede piatto o piede cavo nel bambino e nell’adulto;
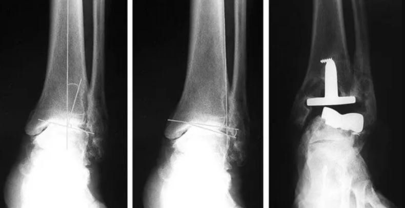
- revisione di protesi di caviglia;
- revisione di artrodesi.
Non sempre la Chirurgia Correttiva del piede da buoni risultati. Il paziente sottoposto ad intervento chirurgico viene informato dal personale medico, che il risultato clinico finale non sempre è quello che il paziente si aspetta.
Non sempre l'intervento riesce a risolvere completamente il problema per il quale il paziente si è rivolto al medico, e in alcuni casi il risultato può anche essere peggiorativo.
Il medico fa sempre del suo meglio per ottenere un buon risultato, ma in tutte le casistiche sia nazionali che internazionali sono riportati degli insuccessi.
In particolare per la chirurgia del piede è abbastanza frequente incontrare pazienti che lamentano dolore dopo un intervento correttivo per l'alluce valgo, visto l'elevato numero di pazienti che si sottopongono ad intervento. Il motivo più comune dell’insorgenza del dolore è la metatarsalgia da trasferimento, seguita dalla recidiva di alluce valgo e in minore misura della deformità delle altre dita.
Circa il 25% dei pazienti può essere curato con misure conservative, tra cui ortesi plantari, l’uso di siliconi, o con iniezioni di corticosteroidi.
Ma nel restante 75% è difficile trovare una soluzione che non sia chirurgica.
La chirurgia di revisione è più complicata di quella eseguita in prima istanza, perché l’anatomia è stata modificata dal precedente intervento, perché molto spesso vi sono condizioni che rendono più difficile il lavoro del Chirurgo, quali la scarsa qualità dell’osso, la mancanza di un segmento osseo importante, la degenerazione della cartilagine, retrazioni cicatriziali e altre complicanze che hanno coinvolto i tessuti molli del Piede o della Caviglia.
In varie rivalutazioni delle casistiche sulle revisioni appare chiaro come i risultati chirurgici mediocri e la necessità di una revisione chirurgica, potrebbero essere prevenuti con la selezione di tecniche chirurgiche che evitino la distruzione articolare, l'accorciamento eccessivo dei singoli metatarsi e l'amputazione digitale.
Tuttavia non sempre lo scarso risultato è da imputare all'errore del Chirurgo, a volte condizioni cliniche quali il diabete, artropatie infiammatorie o deficit immunitari, possono compromettere l’esito dell’intervento.



